
Oh. That right sacroiliac joint – the “small of the back by the butt” – really hurts!
We all deal with little pains all the time as runners. Generally we run through them and see what happens with time. This pain was just that butnthe outcome has been totally different. Despite several attempts to resume running, I simply could not so so comfortably.
This has been the first time where I physically have been unable to run over the past 10 years.
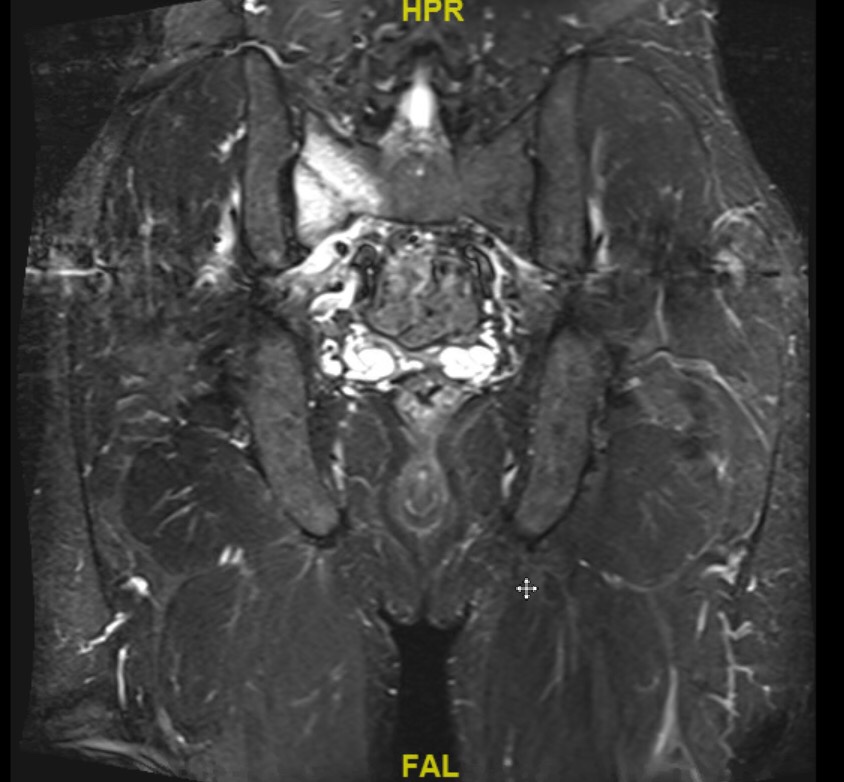
Eventually I saw a new physician and an MRI showed a right sacral stress fracture. My guess is that this was the result of too rapid a build up I pushed for after my summer “vacation” from running.
Feeling much better already and this feels different in that I can maintain the base on a bike or elliptical.
One concern: my new physician asked how I would feel if I couldn’t run Boston….